V UKC Maribor izvedli prvo nekirurško vstavitev aortne zaklopke

| v Lokalno

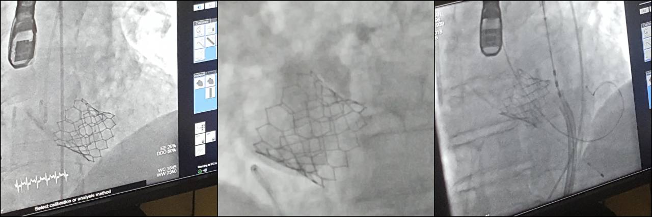
V Univerzitetnem kliničnem centru Maribor so uspešno izvedli prvo nekirurško vstavitev aortne zaklopke.

V torek so v UKC Maribor, v katetrskem laboratoriju Oddelka za kardiologijo in angiologijo, uspešno izvedli prvo nekirurško vstavitev aortne zaklopke.

S tem, z uvedbo tovrstne metode, se v Univerzitetnem kliničnem centru Maribor povečuje dostopnost in obenem omogoča enaka kvaliteta zdravljenja pri bolnikih z okvaro aortne zaklopke tudi v severovzhodni Sloveniji.

O uspešnosti in nadaljnji koristi podviga bodo javnost seznanili tudi prihodnji teden.

Preberite še

Komentarji

Komentarji

Lokalno

Vse v Lokalno

Šport

Vse v Šport

Politika

Gospodarstvo

Slovenija

Scena

Svet

Vse v Svet

Kronika

Vse v Kronika

Kultura

Vse v Kultura